암 환자의 수술 후 관리는 회복과 재발 방지에 중요합니다. 암전문의 김자영 원장은 유튜브에서 수술 후 CT에서 나타날 수 있는 간전이나 폐전이 같은 이상 소견을 경험적으로 언급했습니다. 특히 대장암 환자에게서 이러한 결과가 자주 나타나며, 이를 예방하기 위한 다양한 항염 방법들이 필요함을 강조합니다.

부제: "암 수술 후 꼭 알아야 할, 재발, 전이 예방의 모든 것"
이 글의 순서
- 0. 이 글의 요약
- 1. 수술 후 주의할 점
- 2. 수술 후 재발 방지
- 3. 항염작용의 중요성
- 4. 암 수술 후 간전이
- 5. 전이 예방
- 6. 항암 치료는 수술 이후에
- 7. 수술 후 권장 치료법
- 8. 항염 치료의 역할
- 9. 결론
0. 이 글의 요약
| ▣ 수술 후 CT에서 간전이나 폐전, 재발 등의 이상 소견이 나타날 수 있음. ▣ 대장암 수술 후 간전이가 발견되는 경우가 있으며, 이는 빈번한 현상임. ▣ 항염작용이 필요한 이유는 수술 후 재발 방지와 염증 감소 때문임. ▣ 항염 치료 방법으로는 약물 복용, 영양제, 식이 조절 등이 있음. ▣ 수술 후 항암 치료가 필요한 이유는 갑작스럽게 커진 암세포를 제어하기 위함. |
1. 수술 후 주의할 점

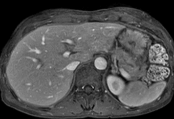
암전문의 김자영 원장이 암 환자의 수술 후 CT 결과에 대해 이야기했어요. 암(癌) 수술 후 CT에서 간전이나 폐전이, 수술 부위 주변 재발 등 생각지 못한 이상 소견을 볼 수 있음을 경험으로 언급했어요.
예를 들어, 대장암 환자의 경우 대장암 수술 후 CT에서 간전이가 발견되는 경우가 많으며, 이는 환자가 의사에게 의문을 제기하는 사례라고 언급했죠. 특히 최장암 환자들 사이에서 이러한 결과가 빈번히 나타날 수 있다고 설명했어요.
2. 수술 후 재발 방지
수술 후 재발을 막는 방법은 항염작용이 필요해요. 약물 복용, 강력한 영양제, 항생제, 그리고 주사치료 등이 필요하다고 합니다.
항염작용이 강한 비타민C, 알파리포산, 셀레늄과 같은 주사제도 효과적이며, 또한 식이조절이 염증을 낮출 수 있는 방법 중 하나예요. 식이조절은 수술 후 염증을 줄이기 위해 수분섭취 증가, 녹색잎채소 섭취 등을 권유할 수 있어요.
특히 암을 수술한 환자는 항염에 대비해
당뇨관리를 잘해야 합니다.
또 당뇨는 구강관리를 잘해야 치주염이 발생하지 않고
치주염이 생기지 않아야 암이 발생을 하지 않아요.
3. 항염작용의 중요성

항염작용의 개념과 그 중요성을 간략히 소개하고, 수술 후 재발과 같은 위험 상황을 막기 위해 항염작용이 중요하죠. 대장암 환자를 예로 들면, 항염작용을 통해 갑작스러운 전이나 종양 성장을 방지할 수 있다고 해요.
항염작용을 통해 재발을 막을 수 있고, 위험 상황을 예방하는 것이 중요하다고 강조하며, 식이 조절과 같은 다양한 방법이 있다고 해요.
4. 암 수술 후 간전이
대장암 수술 후 간전이가 있는 경우, 대장부터 먼저 수술하고 이후 항암치료하는 경우도 있고, 나중에 간전이 된 부위를 수술할 수 있어요.
수술 후 CT 확인 시, 간전이가 크게 성장하거나 개수가 늘어날 수 있지만 이는 수술로 인한 강력한 염증 시그널로 인한 자연적인 반응이에요.
대장암 수술은 몸에 염증을 유발할 수 있지만, 이는 암세포 성장에 직접적인 연관이 있다기보다는 시그널에 반응하는 세포들이 빨리 성장할 수 있다는 것을 의미하는 거죠.
따라서 대장암 수술 자체가 암세포 성장을 촉진하는 것은 아니며, 갑자기 빠르게 암이 성장하는 것은 자연적인 반응이라는 점을 이해해야 해요.
5. 전이 예방
암 수술은 신속하게 해야 해요. 몸속의 암 덩이로 인해 심각한 염증이 발생하여 암을 치료하는 데 매우 중요한 역할을 해요.
수술을 통해 몸속의 암과 주변 조직을 철저히 제거하여 전이암을 예방하는데 중요해요. 하지만 이로 인해 큰 염증 반응이 발생할 수 있어 잠재적인 위험을 안고 있다고 해요.
수술로 인한 염증 시그널이 잠재적 암세포를 자극할 수 있어 수술 후 전이암 발생 가능성이 있어요. 전이암은 수술 전에도 존재할 수 있으므로 지속적인 관찰이 필요해요.
6. 항암 치료는 수술 이후에
수술 이후 대부분 항암 치료가 시작되는데, 이는 갑작스러운 암세포 커짐을 제어하기 위해 항암 치료를 하는 거예요. 항암치료는 수술 이후 4주 이내 항암 치료를 시작하는데, 이는 암세포를 제어하기 위함이라고 해요.
수술 이후 여러 이유(특히 겁을 먹고)로 항암 치료가 지연되기도 하며, 항암 치료를 받지 않는 환자도 있어요.
7. 수술 후 권장 치료법

수술 이후 암세포가 자라는 염증 시그널을 낮추는 항염 치료가 중요해요. 항염 치료는 다양한 형태로 존재하며, 대부분 항산화 및 항암 효과도 함께 있어요.
예를 들어 레스베라트롤, 퀘르세틴 같은 영양제는 항염, 항산화, 항암 효과를 동시에 지니고 있어요. 이 세 가지 효과는 언제나 함께하므로, 수술 이후 항염 치료의 중요성을 강조해요.
또한 커피도 항암작용을 한다고 합니다!
8. 항염 치료의 역할
비타민 D는 항염, 항산화 작용이 강력하여 항암 작용도 높아요. 암 치료 중 항염 치료의 중요성을 강조하며, 수술 후의 항염 치료가 중요하다고 말해요.
암 치료에서 항염이 중요한 역할을 하며, 항염이 잘 이뤄지면 항암 치료도 효과적이라고 합니다. 수술 후 항염 치료를 통해 암 성장 신호를 억누르고, 항염이 잘 이뤄진 상태에서 암 치료가 성공 가능하다고 설명했어요.
본 포스팅은 [김자영원장]의 유튜브 정보를 참고하였습니다.
9. 결론
1) 암 수술 후 관리는 단순히 수술적 치료에서 끝나지 않습니다.
2) 수술 후 CT를 통해 발견될 수 있는 간전이나 폐전과 같은 이상 소견에 대비하는 것부터, 항염작용을 통한 재발 방지까지, 환자의 회복과 생존율 향상을 위해 다각도의 접근이 필요합니다.
3) 이는 약물 복용, 영양제 섭취, 식이 조절과 같은 항염 치료 방법을 포함하며, 수술 후 적절한 항암 치료까지 이어져야 합니다.
도움 되는 글
간암(9.12cm)치료/당화혈색소 9.4→5.6 체험기 모음집 - money-health
제가 지난 6년간 경험한 간암 치료와 당뇨 관리의 여정을 담은 블로그 시리즈를 소개합니다. 간암 개복 절제 수술 후 5년 이상 무재발을 이뤄냈고, 당화혈색소를 1년 만에 9.4에서 5.6으로 낮추는
test.gratedip.com
세브란스 김도영교수: 간암도 완치가 있나?(1문 1답)
1 문 1 답 바로가기 ☜ 오늘이 시간에는 많은 간암 수술받은 환자와 수술을 앞두고 있는 환자분들이 궁금해할 만한 몇 가지 질문을 김도영 교수가 답하는 식으로 진행하였습니다. 상세 내용은 어
money-cushion63.tistory.com
암의 위협: 코드 해독, 암이 알리는 신호!
암이 알리는 신호 알아보기 암은 요즘 사람들의 주요 사망 원인 중 가장 큰 문제입니다. 암은 정말 무서운 질환으로, 이에 대해 잘 케어하고 꾸준한 건강 검진을 받아야 합니다. 그래서 저는 열
money-cushion63.tistory.com
명의 추천 비타민
추천 비타민 구매하기 이 글 영상으로 보기 추천비타민 알아보기 명의가 적극추천하는 멀티비타민은 세브란스병원 간전문의 김도영교수가 환자 및 구독자들을 위해 만든 알기 쉽게 풀어놓은
money-cushion63.tistory.com
실손 실비보험(생명보험사Vs손해보험사)
아직 실손보험을 가입하지 않았습니까? 그런데 주위 사람들을 보면 대부분 실손보험을 들어놔서 여러분들도 가입해 볼까 하고 알아보고 있지 않습니까? 그런데 여기저기 알아보니 생명보험사
gratedip.com
'일반건강' 카테고리의 다른 글
| 암(癌) SOS신호 9가지 조기증상과 예방의 6가지 음식 (0) | 2024.04.19 |
|---|---|
| 자연인으로 살면 암(癌)치료가 되나요? 착각의 위험! (0) | 2024.04.09 |
| 암(癌)을 멀리하는 생활 속 작은 실천들: 암, 당뇨, 양치질 (0) | 2024.04.07 |
| 소리 없는 위협 : 중요 암 신호 이해하여 암 예방! (0) | 2024.03.29 |
| 지역 의료개혁을 위한 정부의 4대 대책 강화! (0) | 2024.02.11 |