간암을 예방하기 위해 피검사와 복부 초음파, CT로만 가능할까요? 아닙니다. 아주 미세한 간암조직까지 찾으려면 MRI로 찾아야 합니다. 이번에는 왜 MRI가 최고인지를 쉽게 알아보겠습니다.

이글의 순서
1. 왜 MRI인가?
2. 환자가 알아야 할 4가지
2-1. 고위험군 정기검사
2-2. CT? MRI?
2-3. MRI성능과 조영제
2-4. 검사 중 호흡조절
3. 결론
민트병원의 김영선원장은 간MRI를 찍기 위해서 환자가 알아야 할 4 가지를 알려주었습니다.
1. 왜 MRI인가?
최근 의학기술의 발달과 함께 짧은 기간 동안 많은 발전이 피부로 느껴지는 분야 중 하나가 간 MRI입니다. 불과 10여 년 전만 해도 간암은 주로 CT로 진단하였습니다.
간처럼 호흡에 영향을 받아 움직이는 장기는 호흡을 멈출 수 있는 짧은 순간에 빨리 검사가 되어야 하는데 당시 기술로는 CT만 이것이 가능했기 때문입니다.
그러나 최근 MRI 기술 발전으로 MRI도 짧은 시간에 간 전체를 영상화하는 것이 가능해졌습니다. 또한, 3T MRI의 보급으로 보다 높은 해상도의 영상이 가능해졌을 뿐 아니라, 더불어 간세포 특이 MRI 조영제 (성분명-gadoxetic acid, 상품명-Primovist)가 개발되어 간암 진단의 정확도가 크게 높아졌습니다.
예전의 CT로 진단할 수 있는 간암의 크기는 최소 1cm는 되어야 했는데, 최근에는 5mm 크기의 (심지어 보다 작은) 간암도 MRI로 진단되곤 합니다.
이는 그만큼 빠른 시기에 치료할 수 있고, 예후를 향상할 수 있는 것이기 때문에 매우 의미가 큰 발전이라고 볼 수 있습니다.
2. 환자가 알아야할 4가지
이와 같은 변화로 인해 간암 진단을 위한 간MRI 검사는 점점 더 많이 시행되고 있으며 최근에는 심지어 조직검사를 대체할 수 있는 진단법으로 간주될 정도입니다. 그럼 이렇게 중요성이 커진 간 MRI 검사에 대해 환자로서 알아야 할 점은 무엇이 있을까요?
2-1. 고위험군 정기검사
간암, 보다 구체적으로 간에서 발생하는 원발성 간암인 간세포암 (hepatocellular carcinoma, HCC)은 여러 원인의 간염 혹은 간경변증이 가장 중요한 위험 인자입니다.
이러한 위험 인자를 지닌 40세 이상의 환자는 6개월에 1번씩 간 초음파 검사 및 혈액 암표지자 검사 (알파태아단백, alphafetoprotein: AFP)를 통해 간암 발생 여부를 모니터링해야 하며, 이는 국가암검진 사업에서의 권고 사항입니다.
간암 위험군의 모든 환자가 CT나 MRI를 정기적으로 받을 필요는 없으며, 이러한 정기 검진에서 이상 소견이 있어 간암이 의심되는 경우 CT나 MRI를 받으면 됩니다.
하지만, 이전에 간암이 발생하여 치료를 받은 적이 있는 경우에는 간암 발생 위험이 높기 때문에 정기적으로 (3-6개월 간격) 간 CT나 MRI 검사를 시행해야 합니다.
2-2. CT? MRI?
MRI는 자기장을 이용하여 신체의 단면 영상을 얻을 수 있는 장비이며, CT는 방사선을 이용하여 MRI보다 빠른 시간에 넓은 부위 (예: 하복부와 폐)를 검사할 수 있는 장점이 있습니다.
그러나 MRI는 간암 진단의 정확도가 훨씬 높을 뿐 아니라 보다 작은 간암도 진단할 수 있습니다. 그러나 한정된 자원 및 비용 문제로 인해 원하는 대로 MRI 검사를 시행할 수 없는 것이 현실입니다.
이러한 상황을 고려하여 대부분의 경우 먼저 CT를 시행하고 이후 필요한 경우 MRI를 시행곤 합니다.
현재 간암의 위험 인자를 지닌 환자에서 1cm 이상의 이형성 결절이 진단되거나, AFP가 두 번 연속 두 배 이상 상승하는 경우 등에는 건강보험 급여 대상으로 즉시 MRI를 시행할 수 있습니다.
2-3. MRI성능과 조영제
간암 진단을 위해서는 MRI 장비의 성능도 고려해야 합니다. 국내 병원의 대부분 MRI 장비는 자기장의 세기에 따라 1.5T 또는 3.0T로 구분됩니다.
1.5T보다는 3.0T 장비가 더 자세한 영상을 제공하므로 3T 장비를 이용하는 것이 좋습니다. 또한, 동일한 자기장 세기의 장비라도 오래된 장비인 경우 영상의 품질이 떨어질 수 있습니다.
그러나 많은 MRI 장비를 보유하고 있는 대형 병원에서는 환자가 MRI 장비에 대한 선택권이 없습니다. 또한, MRI의 조영제는 반드시 gadoxetic acid 성분의 조영제 (제품명: 프리모비스트)를 사용해야 합니다.
다른 MRI 조영제와는 달리 이 약물은 시간이 지날수록 간의 정상 세포에 흡수되지만 간암 세포에는 흡수되지 않기 때문에 주입 후 20분에 MRI를 찍으면 간암 세포가 어둡게 표시됩니다.
또한 이 영상은 매우 높은 해상도 촬영이 가능하기 때문에 작은 병반도 상세히 묘사할 수 있습니다.
물론 프리모비스트가 아닌 일반 MRI 조영제를 사용하더라도 간암 진단이 가능하지만 프리모비스트를 사용하면 더욱 높은 민감도와 특이도로 간암을 진단할 수 있습니다.
따라서 정확한 간암 진단을 위해서는 MRI는 3.0T 장비를 이용하여 프리모비스트 조영 간MRI를 시행하는 것이 필요합니다.
2-4. 검사중 호흡조절

간은 호흡에 의해 움직이는 장기이기 때문에 MRI 기술이 아무리 좋더라도 촬영 대상이 불규칙하게 움직이면 좋은 영상을 얻을 수 없습니다.
반대로 멈추어져 있거나 규칙적으로 움직일 경우 깨끗한 영상을 만들어낼 수 있습니다.
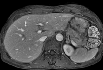
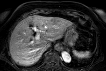
현재의 기술 발전으로 한 번 호흡 정지를 할 수 있는 시간(15-20초) 내에 MRI로 영상화할 수 있지만, 그 사이에 움직임이 발생하면 아래 그림과 같이 영상이 뿌옇게 되거나 물결치듯 보이게 되어 작은 간암의 경우 진단이 어려울 수 있습니다.
MRI의 성능이나 MRI 조영제의 종류가 영상의 질, 간암 진단에 영향을 미치지만 실제로 호흡 조절을 잘하는지 여부가 훨씬 더 큰 영향을 줍니다.
따라서 간 MRI 검사를 받을 때는 검사자의 지시에 따라 정확히 호흡을 조절하는데 가장 신경 써야 합니다. 이러한 호흡 조절 능력은 검사 시행 전 해당 상황에 대한설명 및 교육이 큰 영향을 주므로 검사 경험이 많은 의료 기관에서 검사를 받는 것이 좋습니다.
실제로 15-20초 동안 아무런 움직임 없이 숨을 참는 것은 쉽지 않은 일입니다. 낯선 MRI 환경으로 긴장을 하거나 고령일 경우 더욱 어려움이 있을 수 있으며, 실제 진료 현장에서도 자주 마주치는 상황입니다.
호흡을 참는 가장 좋은 방법은 어린 시절 했던 "얼음!땡!"놀이를 할 때"얼음!"순간처럼 코나코로 숨을 멈춘 상태에서 배에 힘을 살짝 주고 손가락 끝도 눈동자도 움직이지 않는다는 느낌으로 꼼짝 하지 않는 것입니다.
숨 참는 것에만 신경 써 배에 힘을 너무 주면 오히려 간에 움직임이 많이 전달되어 오히려 좋지 않은 영상이 나올 수 있습니다.

간 MRI 촬영 중 호흡 조절정도의 차이에 따른 영상의 질차이 왼쪽의 MRI는 촬영 중심한 호흡 운동으로 인해물결 모양의 허상이 심한 반면 오른쪽의 MRI는 촬영 중 호흡이정지가양호해영상이보다 깨끗하게 보입니다.
예약보다도 더 빨리 찍고 싶으면 간환우협회의 민경윤 회장님께 글을 남기거나 카페에서 전화번호를 찾아 직접 얘기하면 더 빨리 프리모비스트 MRI를 찍을 수 있기 때문 접속을 하셔서 지금 바로 확인해 보시기 바랍니다.
이 글은 [사단법인 간환우협회]의 월간지인' 행복나눔' 창간호에 실린 서울의 '민트병원 김영선원장'의 글을 허락을 얻어 인용합니다.
함께 읽으면 도움 되는 글
간암(9.12cm)치료/당화혈색소 9.4→5.6 체험기 모음집 - money-health
제가 지난 6년간 경험한 간암 치료와 당뇨 관리의 여정을 담은 블로그 시리즈를 소개합니다. 간암 개복 절제 수술 후 5년 이상 무재발을 이뤄냈고, 당화혈색소를 1년 만에 9.4에서 5.6으로 낮추는
test.gratedip.com
김도영 교수 간(肝) 관련 글 모음집 !!
이 모음집은 계속 Update 됩니다!Update 날짜: 2025년 7월 14일 읽고자하는 제목의 버턴을 누르면글이 바로 열립니다! 김도영 명의 추천 비타민 간암 명의 김도영교수 간암 완치 있나요?(1문 1답) 김도
money-cushion63.gratedip.com
암예방과 당뇨에 좋은 외식메뉴 5가지 음식들!
건강한 삶을 위해 가장 쉽게 시작할 수 있는 것이 바로 식습관 개선입니다. 우리가 매일 먹는 음식이 암세포에게 어떤 영향을 주는지, 그리고 어떻게 하면 암세포가 싫어하는 식단을 만들 수 있
gratedip04.gratedip.com
간경변, 정말 끝인가요? 반은 맞고 반은 틀려요!
간경변 진단을 받으면 세상이 무너지는 기분이 드실 거예요. 하지만 잠깐! 간경변이라고 해서 모든 것이 끝난 건 아닙니다. 이 글을 통해 간경변에 대한 올바른 정보와 희망적인 메시지를 전해
gratedip04.gratedip.com
퇴직후 건강보험 폭탄예방 7가지
퇴직 후 연금을 받으며 잘살고 있는데 갑자기 날아온 건강보험료 고지서! 열어보니 입이 떡 벌어지도록 많은 건강보험료! 모든 사람들이 느낄 것입니다. 이런 건강보험료 폭탄은 미리미리 예방
gratedip.com
'간' 카테고리의 다른 글
| B형 간염ㅣ정의 특징 치료 예방 (0) | 2023.11.11 |
|---|---|
| 간암 환자를 위한 건강한 식단ㅣ음식으로 치료와 예방 (0) | 2023.11.07 |
| 만성 B형 간염 치료 동반자 항바이러스제 (0) | 2023.10.31 |
| 만성B형 간염의 치료 최적 타이밍은? (0) | 2023.10.30 |
| B형 간염 5단계 알아야 간암 안 걸려요! (0) | 2023.10.27 |