진행성 간암은 암이 발전했으나 간 기능과 전신 상태가 좋은 상태를 가리키며, 표준 치료법은 면역 관문 억제제 사용입니다. 반면, 말기 간암은 암 발전과 함께 간 기능과 전신 상태가 나쁜 상태를 의미합니다. 이번 글은 간암 치료법 발전과 면역 관문 억제제의 중요성, 그리고 치료 효과와 부작용에 대해 설명합니다.

이 글의 순서
1. 들어가면서
2. 진행성과 말기 간암 구분
3. 진행성 간암
4. 진행성간암 표준치료
5. 면역관문 억제제란?
6. 면역관문 억제제 효과
7. 부작용은?
8. 결론
9. 도움 되는 글
1. 들어가면서
오늘은 진행성 간암에 대해서 알아보겠습니다. 진행성 간암이란 무엇인지, 또 치료법에는 무엇이 있는지, 또 치료의 효과와 또 부작용에는 어떠한 것이 있는지 등에 대해서 알아보는 시간 갖도록 하겠습니다.
2. 진행성과 말기 간암의 구분
흔히 진행성 간암과 말기 간암을 혼동한 분이 많은데요. 말기 간암은 암도 진행이 됐지만, 환자분의 간기능이 많이 나빠져 있고, 또 전신 상태도 좋지 않은 그런 상태입니다.
반면에 진행성 간암은 암은 좀 진행이 되었지만, 간 기능이 비교적 보존이 되어 있고, 또 전신 상태도 그렇게 나쁘지 않은 상태입니다.
그래서 요약하면, 말기는 남은 암과 간기능 모두 나쁜 상태여서 치료가 어렵거나 불가능한 상태를 말하며, 진행성 간암은 진행을 했으나 전신 상태와 간기능이 괜찮아서 치료를 할 수 있는 상태입니다.

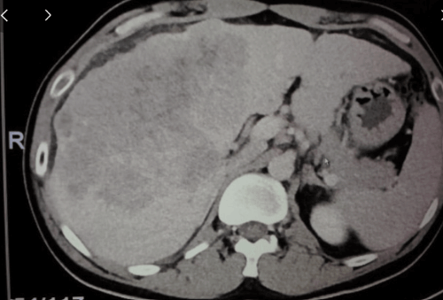
3. 진행성간암
그렇게 구분할 수 있습니다. 간을 쉽게 초기, 중기, 진행성, 말기 이렇게 네 가지로 구분할 수 있는데요. 진행성 간암이라고 하는 거는 두 가지 요인으로 진행성이라고 부릅니다.

첫 번째는 간 외 전이라고 해서 간 밖으로 암이 퍼져 있는 상태. 또 다른 하나의 요인은 간에 주요한 혈관이 있죠. 혈관 암이 문맥을 파고드는 상태입니다. 이 두 가지 중에 어느 하나라도 있으면 진행성 간암이라고 합니다.
다시 말씀드리면, 간암에서 진행성 병기다 하면, 간 밖으로 전이가 있거나 간 내에 있는 혈관의 침범이 있을 때를 진행성 간암이라고 부릅니다.
4. 진행성간암의 표준치료
진행성 간암의 표준 치료는, 치료법이 많이 발전하면서 최근에 표준 치료가 된 것은 소위 면역 관문 억제제. 좀 말이 어렵죠. 쉽게 면역 항암제를 사용한다고 보시면 되겠습니다.
물론 간암은 치료법이 다양하기 때문에, 변기가 진행성이라고 하더라도, 방사선 치료를 한다든지, 또는 간동맥 화학 색전술을 하는 경우도 있습니다.
하지만 표준 치료가 면역 관문 억제제를 사용하는 것인데요. 모든 환자에서 이 면역 관문 억제를 또 사용할 수 있는 것은 아닙니다.
예를 들어, 간경변증을 동반하고 있어서 식도 정맥류 출혈의 위험이 높다든지, 또는 이미 간암으로 간 이식을 받았는데 간암이 재발한 경우에 우리가 이식을 받으면 면역 억제제를 사용 못하잖아요.
이런 경우에는 다른 방법이 있습니다. 소위 표적 치료제라고 하는 경구 약물을 또 사용할 수가 있습니다.
5. 면역관문 억제제란?
몇 년 전에 일본 학자가 노벨 의학상을 받았는데요. 바로 이 노벨 의학상을 받은 주제가 이 면역관문 억제제를 개발하는 그런 연구였습니다.
다시 쉽게 말씀드리면, 우리 몸에는 면역 감시 체계라는 게 있어서 저절로 암세포가 매일 조금씩 생긴다고 해요. 정상인에서도, 그런데 암이 발생하지 않는 이유는 우리 몸에 면역 기능이 있기 때문입니다.
그중에서 가장 중요한 기능을 하는 것이 T세포라고 하는 것인데요, 암세포를 인지해서 자기가 아닌 남으로 인지를 하기 때문에 어 면역 기능이 발휘를 하는 거거든요.

그런데 암 환자에서는 이러한 T 세포의 기능이 떨어져 있습니다. 그렇기 때문에 암세포가 생겨도 이것을 제어를 하지 못하는 거죠. 막지를 못하는 거예요. 그렇기 때문에 암세포가 점점 성장하고 전이를 하는 겁니다.
그래서 이 세포가 과연 왜 어떻게 억제되어 있는가를 연구를 해 봤더니, 이 세포를 기능을 억제하는 주변에 다른 세포가 있다든지, 주변에 다른 물질이 이 T 세포를 꼼짝 못 하게 하고 있더라는 거죠.
그래서 반대로 이 세포를 억제하고 있는 주변에 다른 세포라는 물질을 억제하게 되면 기능을 억제하고 있던 것이 풀리기 때문에 T 세포의 기능이 정상적으로 나타날 수 있게 되겠다.
이런 작동 원리를 갖고 있는 것이 바로 면역 관문 억제제인 것입니다. 그래서 여기서 억제라는 거는 정상적으로 기능을 발휘해야 될 세포를 억제하고 있는 주변에 다른 세포나 물질을 오히려 억제함으로써 정상적인 기능을 발휘한다 이렇게 이해하시면 될 거 같습니다.
6. 면역관문 억제제의 효과
종양이 매우 크고 전이도 있고, 또 혈관 침범도 있는 전형적인 진행성 간암에서 표준 치료는 이 면역 관문 억제제, 면역 항암제를 쓰는 것입니다.
종양이 클수록 또 전이가 많이 있을수록 혈관 침범의 정도가 심할수록 치료 효과가 떨어지는 건 맞는데, 굉장히 심한 환자에서도 효과가 확실하게 나타나는 분들은 종양이 완전히 사라지는 걸 볼 수 있습니다.
물론 여기 그래서 이제 너무 환상을 가지시면 안 되지만, 모든 환자에서 이런 반응이 나타나면 참 좋겠죠. 하지만 그렇지 않습니다. 일정 비율의 환자에서 이렇게 종양이 완전히 사라지는 걸 경험할 수가 있는데요. 그거를 완전 반응이라고 합니다.
우리가 암 치료제를 개발했을 때, 항상 임상 시험이라는 과정을 거쳐야 하거든요. 그 약의 안전성과 효과가 입증돼야 환자들한테 사용할 수 있으니까.
이 임상 시험을 통해서 이 간암의 면역 관문 억제제 효과를 봤더니, 완전 반응이라고 말씀드렸잖아요. 이 영상 검사를 했을 때, 암이 안 보이는 그런 완전 반응이 8% 나타났습니다.
그러니까 100명을 치료하면 한 여덟 명 정도에서 진행성 간암에 대한 완전 반응이 나타난다는 거다. 예전하고 비교해선 굉장히 높은 수치입니다,
이 완전 반응이 나타나지 않는다고 하더라도요, 부분 반응이라는 게 있습니다. 그러니까 완전히 없어지지 않더라도 크기가 유의하게 줄어드는 거죠.
암의 크기가 줄어드는 걸, 부분 반응이라고 하는데, 22%에서 그런 부분 반응을 기대할 수 있다. 그러니까 완전 반응하고 부분 반응을 합치면... 30%.
그래서 100명을 치료하면 진행성 간암 100명을 약으로 치료하면 한 30% 정도에서는 거의 없어지던, 아니면 유의하게 줄어든 것을 기대할 수 있다. 이것이 이제 간암 치료의 굉장한 발전이라고 얘기할 수가 있겠습니다.
7. 부작용은?
전통적인 소위 '세포독성 항암제'라고 하는 것들이 있어요.
예전에는 유방암이라고 또는 혈액암에 많이 쓰이는, 최근에도 사용합니다만, 그런 고식적인 전통적인 항암제들은 머리가 많이 빠지고 탈모가 생기죠.
입안도 많이 헐고, 설사도 심하게 하고 밥도 못 먹고 이런 부작용이 심해서 굉장히 환자분들이 이 항암제에 대한 공포심을 느끼게 되는데, 면역관문 억제제는 우리 인체에 면역 기능을 자연스럽게 올려 주는 그런 기전을 갖고 있기 때문에, 그런 옛날 항암제 부작용은 없습니다.
하지만 원리를 말씀드렸다시피 이게 우리 몸의 면역을 끌어올리는 거기 때문에 면역이 너무 과도하게 올라가게 되면 그거로 인해서 부작용이 나타날 수가 있습니다.
예를 들어서 피부가 면역 반응이 심하게 나타나서, 빨갛게 발진이 생긴다든지, 또 가렵다든지 하는 부작용. 그리고 우리 인체 모든 장기에 이런 자가 면역 같은 자가면역 질환이 생길 수 있는데, 자가 면역 질환이 그거잖아요.
면역이 너무 올라가서 생기는 질환이죠. 대표적인 것이 바로 이제, 폐라든지 간에 생길 수 있는 염증입니다. 자가면역성 염증 있데, 폐렴이 온다든지, 간염이 올 수가 있습니다.
하지만 이게 오게 되면, 좀 위험할 수도 있지만, 그럴 확률은 그렇게 높지 않다는 것을 알아두시면 좋을 것 같습니다.
본 포스팅은 [김도영교수]의 유튜브 정보를 참고하였습니다.
8. 결론
1) 김도영 교수가 보는 환자분들의 절반 이상이 간암 환자를 진료하고 있어서 간암을 자세하게 다루어 드릴 계획을 갖고 있다고 합니다. 그래서 오늘 먼저 진행성 간암을 선택한 이유고요,
2) 김교수가 만나는 환자분들의 많은 분들께서 이미 항암 치료를 받고 계시기 때문에, 우선 진행성 간이 무엇이고, 또 면역 관문 억제제의 역할이 어떠한 것인지 살짝 맛만 보여 드리는 정도로만 정보를 알려 드렸고요.
3) 앞으로 계속 상세한 내용을 유튜브로 계속 알려드린다고 하니 기대해 봐도 될 것 같아요.
9. 도움 되는 글
김도영 교수 간(肝) 관련 글 모음집 !!
이 모음집은 계속 Update 됩니다!Update 날짜: 2025년 7월 14일 읽고자하는 제목의 버턴을 누르면글이 바로 열립니다! 김도영 명의 추천 비타민 간암 명의 김도영교수 간암 완치 있나요?(1문 1답) 김도
money-cushion63.gratedip.com
간암(9.12cm)치료/당화혈색소 9.4→5.6 체험기 모음집 - money-health
제가 지난 6년간 경험한 간암 치료와 당뇨 관리의 여정을 담은 블로그 시리즈를 소개합니다. 간암 개복 절제 수술 후 5년 이상 무재발을 이뤄냈고, 당화혈색소를 1년 만에 9.4에서 5.6으로 낮추는
test.gratedip.com
아침공복혈당 높을 때 밤사이 혈당 관리 완벽 가이드!
아침에 일어나서 공복 혈당을 재면 높게 나와 당황한 경험이 있으신가요? 밤새 아무것도 먹지 않았는데 혈당이 오르는 현상은 많은 당뇨 환자분들이 겪는 고민입니다. 우리나라 65세 이상 당뇨
gratedip04.gratedip.com
암예방과 당뇨에 좋은 외식메뉴 5가지 음식들!
건강한 삶을 위해 가장 쉽게 시작할 수 있는 것이 바로 식습관 개선입니다. 우리가 매일 먹는 음식이 암세포에게 어떤 영향을 주는지, 그리고 어떻게 하면 암세포가 싫어하는 식단을 만들 수 있
gratedip04.gratedip.com
간경변, 정말 끝인가요? 반은 맞고 반은 틀려요!
간경변 진단을 받으면 세상이 무너지는 기분이 드실 거예요. 하지만 잠깐! 간경변이라고 해서 모든 것이 끝난 건 아닙니다. 이 글을 통해 간경변에 대한 올바른 정보와 희망적인 메시지를 전해
gratedip04.gratedip.com
'간' 카테고리의 다른 글
| 간암: B형 간염과 베물리디! 불가분 관계! (0) | 2024.01.14 |
|---|---|
| 간암: 치료와 재발 안되는 방법! (0) | 2024.01.13 |
| 간 질환에 좋은 만병통치약? 커큐민! (0) | 2023.12.18 |
| B형 간염 보균자: 간암 예방 위해 CT? MRI? (0) | 2023.12.16 |
| 커피: 어떤 성분이 간에 좋은가? 그리고 간암 예방! (0) | 2023.12.14 |